虫歯 神経 まで。 放置しておくと怖い! 大人の虫歯

歯医者も知らない!?歯の神経を抜いたらどうなるのか?

虫歯 神経 まで

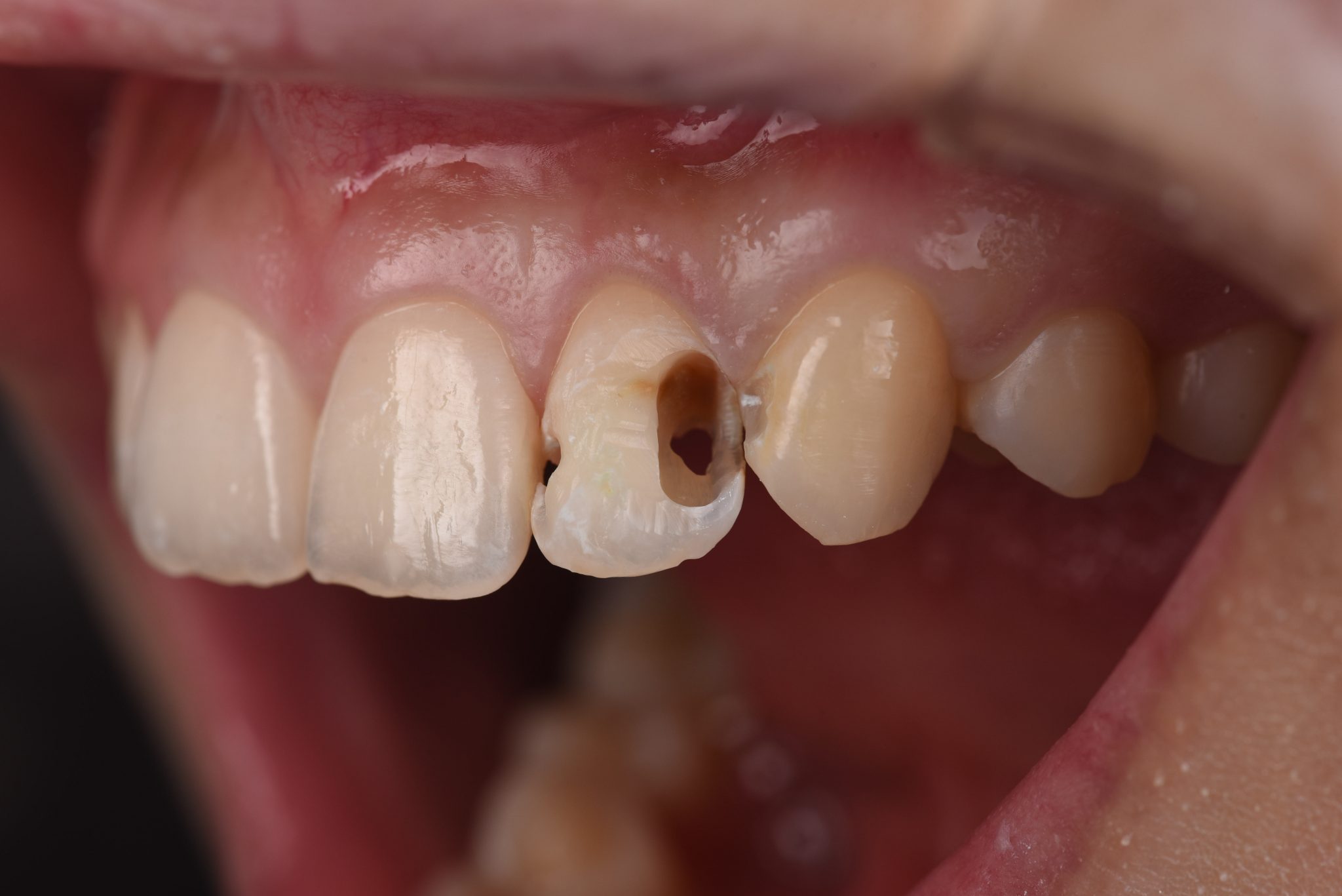
これは3種類の抗菌剤を用いて治療する方法なんですが、 無菌化に成功すれば神経を除去する必要が無くなるということで行われているようです。 最終的に「全身麻酔で手術」といった大ごとになってしまうので注意が必要です 健康な方で骨髄炎まで発展することはあまりありませんが。 以前から冷たいものを口に含んだときや熱いスープを飲んだとき、甘いものを食べたときなどに軽くしみるような感覚があったのですが、気が付くと何もしていなくてもジンジン痛んでくるようになりました。 今は歯科医は選択して行く時代です。 つまり、痛い時はまだ神経が生きていて、痛みが無くなったら完全に死んでいると思われると良いでしょう。 4回目|コア形成 4回目の治療では歯の土台を入れるための処置をしてもらいました。

次の

虫歯になっても、神経は絶対に抜いてはいけない(週刊現代)

虫歯 神経 まで

1週間くらいでいつの間にか何も感じなくなることが多いもの です。 歯のくいしばりグセがある人や、歯ぎしりをする人は要注意。 症状がある虫歯は歯の神経に虫歯菌がすでに入り込んでいます。 歯髄 歯の神経 には血管が含まれているので、当然血液が流れています。 ご多忙の折恐縮ですが、何卒宜しくお願い申し上げます。

次の

虫歯の神経を抜く…!?歯内療法の方法を解説

虫歯 神経 まで

4 歯の異変に気付きにくくなる 神経のある歯は、歯に問題が生じると痛みやしみるなどの症状で異常を知らせます。 唾液が少ない人も口の中の自浄作用が弱く、口内が酸性に傾きやすいので、虫歯リスクが高いと考えられています。 さらに、詰め物がとれたところは、やわらかい象牙質なのでどんどん虫歯が進行します。 虫歯と違い一過性のもので、慣れると痛みがなくなります。 また、 神経のない歯は通常の歯に比べ、「噛む力の調整がしづらくなる」というデータがあります。

次の

虫歯の神経を抜く…!?歯内療法の方法を解説

虫歯 神経 まで

虫歯を放置しすぎた結果、病気になる例はたくさんあって最悪の場合、命に関わることもあるので、たかが虫歯と思って放置するのは避けた方が良いでしょう。 1本だけ歯が茶色くなってきたら、それは神経のない歯かもしれません。 熱いものがしみるようになるほか、何もしていなくてもズキズキと激しく痛むようになります。 根の治療を何度も繰り返している場合や歯根嚢胞が大きくなりすぎた場合には歯の根の中からいくら治療をしても改善せず、歯茎に白いおできのようなフィステルという膿の出口が残ります。 2 成功率 歯の神経を抜く治療の成功率は90%程度。

次の

神経近くまで削った歯に痛みが出た。神経を取ったほうがいい?

虫歯 神経 まで

コンポジットレジンは削った歯の部分に粘土のような柔らかい材料を詰め、光を当てて固めるため、入り口が小さくても中まで詰めることができます。 ではこの2つの役割が持つ意味を少し詳しく解説します。 しみる状態を放置していると、歯の神経が死んでしまうことがあることをご存知でしょうか? 歯の神経が死んだ状態とは、一体どのような状態なのでしょう? 一般的に「歯の神経」と呼ばれているものは、神経線維の他に血管なども含む「歯髄」と呼ばれる部分です。 そんな難しいMTA治療ではありますが、肉眼で見えないところまで確認できる歯科用マイクロスコープであればMTAを最大限に活かすことができる治療が可能です。 銀歯を被せたときの見た目もあまり美しくありませんしね。

次の

神経を抜かなければいけない虫歯の進行度と治療方法について

虫歯 神経 まで

神経を取ることで歯の強度は著しく低下し、むし歯にもなりやすくなります。 」 ほとんどのママは激しい自己嫌悪に追われています。 歯の神経が死んだ後の治療法・処置法 歯の神経が死んでしまった場合、その「死骸」にあたる部分を取り除き、歯の神経があったスペースを完全に消毒する必要があります。 現在、成功率を上げるための治療法として、CT撮影や拡大鏡を使うなどの方法は増えていますが、歯の根が曲がっている場合や神経の入っていた管が枝分かれしている場合、また感染が歯の周りにまで広がっている場合には、1度の治療では終わらず通院が必要になります。 最新治療 できるだけ小さな穴から虫歯を取るためにはマイクロスコープ(手術用顕微鏡)が必要です。 ご助言いただきましたらありがたいです。 人工の被せ物は、自然の歯のように擦り減らないため、噛み合わせのずれに繋がってしまいます。

次の

虫歯が神経までいってなかったら 削っても痛くないってことですか? 虫

虫歯 神経 まで

虫歯で神経を抜くケースというのはかなり症状が進行した段階ということです。 レントゲンその他、どのような診断方法でわかるものでしょうか。 「完璧」を追求するあまり、ブログの記事を書くのも時間がかかってしまう。 根の中の消毒 神経除去後、神経があった空洞の中に消毒薬を入れて、仮の蓋をします。 ただ単純に痛いので、ということで処置をするとおそらく歯の神経()を取ることになりそうな感じですよね。 神経をきちんと取り切らないと、残髄炎というまた別の痛みが出てきます。 歯は残したほうがよいというのはご理解いただけると思います。

次の

本当に歯の神経は抜く必要があるの?神経を抜くほどの虫歯と治療法

虫歯 神経 まで

実は、大人の虫歯は、痛みがないままに進行することを知っていますか? 子どもの虫歯と大人の虫歯は、できる過程が違います。 なので、歯の神経を抜くと、「 どんどん歯を抜かれしまう悪循環」になりますので、 できるだけぬかないようにしてください。 また、歯に電気的な刺激を与えて神経の生存状態を調べることもあります。 局所的に麻 酔を行い、痛みのない状態で虫歯を除 去していきます。 歯の知覚がなければ、「とんでもなく虫歯が進行して、骨の中にまで炎症が広がってからようやく気づく」といった恐ろしい事態が平気で起こってくるわけです。 神経を除去し、神経が入っていた管(根管)の内部を消毒して薬剤を詰める根管治療を行い、クラウン(被せ物)を被せます。

次の